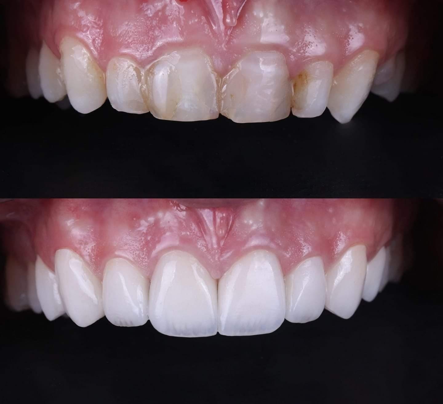
View our smile gallery with results from our Implant, crowns and bridge treatment.
Disclaimer: Information on this website about non-surgical cosmetic dental procedures is for general educational purposes only and does not constitute medical advice. Individual results may vary. Patients under 18 must observe a mandatory 7-day cooling-off period before undergoing any procedure.












